Loading...
Chào mừng bạn đến với Website Bệnh Viện Sản nhi Nghệ An

Phẫu thuật thành công bệnh lý trật khớp háng bẩm sinh tại Bệnh viện Sản Nhi Nghệ An

Vừa qua, các bác sĩ khoa CTCHB đã phẫu thuật thành công ca bệnh Trật khớp háng bẩm sinh cho bệnh nhi Cao Quỳnh C. 57 tháng tuổi, địa chỉ Đô Lương, Nghệ An. Cụ thể cháu được bố mẹ phát hiện đi khập khiễng chân dài chân ngắn từ lúc bắt đầu tập đi. Tuy nhiên vì cháu còn nhỏ nên gia đình chưa khám ở đâu. Nay cháu đau nhiều, đi lại khó khắn bố cháu mới đưa đi khám một số nơi, và được giới thiệu đến bệnh viện sản nhi Nghệ An.
 
Tại đây các bác sĩ chẩn đoán cháu bị trật khớp háng bẩm sinh bên trái. Và có chỉ định phẫu thuật vì cháu đã lớn, không còn điều trị bảo tồn được nữa. Qua 3 giờ phẫu thuật, khớp háng của bệnh nhi được đưa về đúng giải phẫu, tuy nhiên cần được bó bột tăng cường thêm 6 đến 8 tuần, mới có thể tháo bột và tập đi trở lại.
         
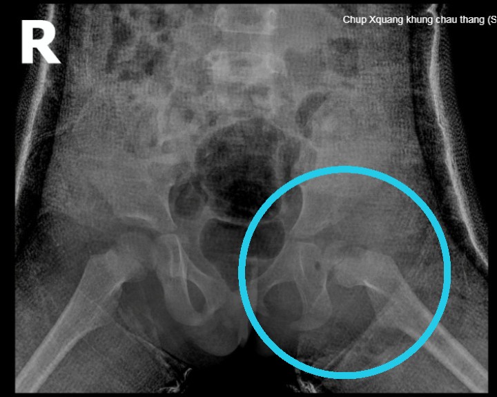
Hình ảnh chụp X-quang cho thấy bệnh nhi trật khớp háng bẩm sinh bên trái
Hình ảnh Bệnh nhi sau khi phẫu thuật thành công và được bó bột cố định 

Trật khớp háng bẩm sinh là một bệnh lý mà chỏm xương đùi của trẻ bị trật ra ngoài không do chấn thương. Có thể tiến triển theo thời gian nên còn được gọi là loạn sản khớp háng tiến triển. 

Loạn sản khớp háng tiến triển (DDH) có thể ảnh hưởng đến một hoặc cả hai khớp háng hai bên. Nếu không được phát hiện và không điều trị, chân của bệnh nhân sẽ bị tổn thương sẽ trở nên ngắn hơn, và khớp háng có thể trở nên đau. Động tác dạng khớp háng thường khó khăn do co thắt cơ khép. Còn nếu được điều trị loạn sản khớp háng sớm ngay từ khi còn sơ sinh, hầu hết các trẻ bị DDH đều có cơ hội phát triển chức năng vận động như những trẻ khỏe mạnh thông thường.

Nhiều bằng chứng y học mạnh mẽ cho thấy nên thực hiện khám bằng siêu âm hình ảnh trước 6 tháng tuổi ở trẻ sơ sinh có một hoặc nhiều yếu tố nguy cơ sau: sinh ngôi mông, tiền sử bệnh gia đình hoặc tiền sử lâm sàng không ổn định. Cụ thể, nếu hiện diện các yếu tố nguy cơ gia đình và/hoặc sinh ngôi mông thì nên thực hiện sàng lọc siêu âm chọn lọc trong khoảng từ 2-6 tuần tuổi đối với những trẻ sơ sinh có biểu hiện lâm sàng bình thường hoặc chụp X-quang ở 4 tháng tuổi trở lên.

Việc sàng lọc nguy cơ DDH bằng phương pháp siêu âm ở trẻ sơ sinh có tiền sử không ổn định lâm sàng và/hoặc các yếu tố nguy cơ như sinh ngôi mông, tiền sử bệnh gia đình được ghi nhận có vai trò quan trọng việc ngăn ngừa trật khớp muộn và cần phẫu thuật.

Khoa Chấn thương chỉnh hình - Bỏng, Bệnh viện Sản Nhi Nghệ An là địa chỉ tin cậy hàng đầu trong khám và điều trị các dị tật bẩm sinh cơ qian vận động của trẻ em, đặc biệt là trạt khớp háng bẩm sinh.

Quảng cáo
Thống kê truy cập
Người đang truy cập: 7188
Tổng số lượt truy cập: 7502064