X-quang tuổi xương: "Thước đo vàng" phát hiện dậy thì sớm ở trẻ
Dậy thì sớm không chỉ là nỗi lo về tâm lý mà còn là rào cản đối với chiều cao của trẻ khi trưởng thành. Tại Bệnh viện Sản Nhi, chúng tôi sử dụng công nghệ chẩn đoán hình ảnh tiên tiến để giúp cha mẹ "đọc vị" sự phát triển của con một cách chính xác nhất.

🔬 Dậy thì sớm là gì và tại sao cần can thiệp?
Dậy thì sớm là tình trạng cơ thể trẻ bắt đầu chuyển sang giai đoạn trưởng thành quá sớm (thường trước 8 tuổi ở bé gái và trước 9 tuổi ở bé trai).
Hệ lụy đáng lo ngại: Khi dậy thì sớm, các hormone sinh dục kích thích xương phát triển nhanh nhưng cũng làm các đầu xương đóng lại sớm hơn bình thường. Điều này khiến trẻ cao vọt lúc nhỏ nhưng lại thấp lùn khi trưởng thành.
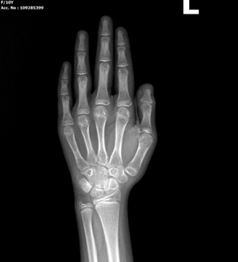
📸 X-quang bàn tay trái: "Cửa sổ" nhìn vào tuổi xương
Nhiều phụ huynh thắc mắc: “Tại sao khám dậy thì lại đi chụp bàn tay?”.
Trong y học, bàn tay và cổ tay trái là khu vực tập trung nhiều xương nhỏ và các sụn tăng trưởng. Hình ảnh X-quang tại đây phản ánh chân thực Tuổi xương (Bone Age) – thước đo chính xác mức độ trưởng thành sinh học của cơ thể, thay vì chỉ dựa vào Tuổi thực (tuổi theo năm sinh).
Tại sao nhất định phải là tay trái?
Theo tiêu chuẩn quốc tế (phương pháp Greulich & Pyle), bàn tay trái ít bị tác động bởi các hoạt động thuận tay, giúp hình ảnh mang tính khách quan và ổn định hơn trong việc so sánh với biểu đồ chuẩn.
.png)
Hình ảnh trẻ nữ 10 tuổi có hình ảnh tuổi xương trên Xquang bàn tay trái tương đương trẻ nữ 11-12 tuổi
🚩 Khi nào cha mẹ cần đưa trẻ đi chụp X-quang tuổi xương?
Đừng đợi đến khi con có những thay đổi quá rõ ràng. Hãy đưa bé đến Khoa Chẩn đoán hình ảnh nếu có các dấu hiệu:
- Bé gái (trước 8 tuổi): Ngực phát triển, mọc lông mu hoặc có mùi cơ thể.
- Bé trai (trước 9 tuổi): Tăng kích thước tinh hoàn, vỡ giọng, mọc mụn trứng cá.
- Chiều cao: Con tăng chiều cao đột biến (trên 6cm/năm) nhưng sau đó có dấu hiệu chững lại.
🛡️ Chụp X-quang tại Bệnh viện Sản Nhi có an toàn không?
Nhiều cha mẹ lo lắng về tia X ảnh hưởng đến trẻ nhỏ. Tuy nhiên, tại khoa Chẩn đoán hình ảnh của chúng tôi:
- Liều tia cực thấp: Lượng bức xạ khi chụp bàn tay chỉ tương đương với lượng bức xạ tự nhiên bạn nhận được khi đi máy bay 1 giờ.
- Thời gian siêu nhanh: Chỉ mất 1-2 phút cho một lần chụp, không gây đau đớn hay khó chịu cho bé.
- Hệ thống số hóa (DR): Cho hình ảnh sắc nét, giúp bác sĩ phát hiện những thay đổi nhỏ nhất ở các đầu xương.
📝 Quy trình thăm khám trọn gói tại bệnh viện
Để có kết luận chính xác nhất, trẻ thường thực hiện quy trình phối hợp giữa các khoa:
- Bước 1: Khám lâm sàng tại khoa Nội tiết Nhi.
- Bước 2: Chụp X-quang bàn tay trái tại khoa Chẩn đoán hình ảnh.
- Bước 3: Xét nghiệm nồng độ Hormone trong máu (nếu cần).
- Bước 4: Siêu âm tử cung, buồng trứng (với bé gái) hoặc siêu âm tinh hoàn (với bé trai).
Dậy thì sớm có thể điều trị hiệu quả nếu được phát hiện sớm. Một tấm phim X-quang bàn tay đơn giản có thể thay đổi cả tương lai chiều cao của con bạn.
BỆNH VIỆN SẢN NHI NGHỆ AN – CHĂM SÓC BẰNG CẢ TRÁI TIM